Éra amalgámových plomb sa na Slovensku definitívne končí. Od 1. júla 2026 už zubári nebudú môcť bežne používať materiál, ktorý bol desaťročia štandardom v stomatológii. Zmena vychádza z európskej legislatívy zameranej na obmedzenie ortuti v životnom prostredí.
Pre pacientov však znamená zásadný obrat – nielen medicínsky, ale najmä finančný. Bezplatné plomby ostanú len na papieri, realita bude o doplatkoch
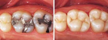
Amalgámové plomby končia
Používanie amalgámu malo byť v Európskej únii ukončené už od 1. januára 2025. Slovensko si však vyjednalo výnimku do 30. júna 2026. Zákaz je výsledkom dlhodobého boja proti znečisťovaniu životného prostredia ortuťou. Zatiaľ čo v mnohých krajinách EÚ platí zákaz skôr, Slovensko využilo možnosť odkladu. Dôvodom je nastavenie systému verejného zdravotného poistenia, ktoré nebolo pripravené na okamžitý prechod na drahšie materiály.

„Táto lehota slúži na to, aby zdravotné poisťovne a Ministerstvo zdravotníctva stihli upraviť úhradové vyhlášky a zabezpečili, aby kompozitné a cementové náhrady boli pre pacientov dostupné. Súčasný zákaz sa týka dávkovaného amalgámu, označovaného aj ako kapslový,“
uvádza Michaela Klein, hlavná dentálna hygienička Dr. Martin a vedúca katedry dentálnej hygieny Slovenskej zdravotníckej univerzity.
Po tomto dátume amalgám úplne nezmizne, no jeho použitie bude výnimočné a prísne kontrolované.
„Lekár ho bude môcť použiť len v špecifických medicínskych prípadoch, napríklad pri alergiách na iné materiály,“
dodáva odborníčka.

Michaela Klein
Bez amalgámu prichádzajú nové materiály a vyššie ceny
Nahradiť amalgám majú moderné výplne, najčastejšie kompozitné, skloionomerné alebo keramické. Problém je, že práve tie kvalitnejšie a trvácnejšie materiály poisťovne plne nepreplácajú.
Hoci zákon stále garantuje pacientom nárok na bezplatné ošetrenie kazu, realita v ambulanciách vyzerá inak. Podľa údajov Národného centra zdravotníckych informácií SR sa v jednom roku na Slovensku vykonalo viac ako 2,7 milióna plombovaní, no bez doplatku bolo len každé desiate. Plombovanie navyše patrí k najčastejším stomatologickým úkonom. Zubný kaz postihuje 90 % dospelých a 60 až 90 % detí v školskom veku.
„Základné ošetrenie kazu je definované ako jednoduchý zákrok – odstránenie povrchového kazu v oblasti skloviny alebo plytkého dentínu a následné doplnenie zuba štandardnou výplňou, najčastejšie kompozitnou plombou. Tento výkon je bez komplikácií, nevyžaduje špeciálne techniky ani liečbu koreňových kanálikov. Ak však kaz prenikne k zubnej dreni, je potrebné komplexnejšie ošetrenie – čistenie koreňových kanálikov, rekonštrukcia väčšej časti zuba či výmena výplne za špeciálny materiál. V takých prípadoch ide už o tzv. rozšírené alebo nadštandardné ošetrenie, ktoré spadá mimo úhrady poisťovne,“
vysvetľuje Michaela Klein.

Bezplatná výplň podľa zákona zahŕňa najmä skloionomerný cement miešaný ručne. Ten sa však v modernej stomatológii používa čoraz menej.
„Ten je však v súčasnosti menej trvácny, neestetický a často nevhodný pri hlbších kazoch. Moderná stomatológia si vyžaduje iné materiály – kompozitné, vrstvené, keramické výplne. Tie sú funkčne aj esteticky výrazne lepšie, ale poisťovňa ich nehradí. Lekár je však povinný pacienta na to upozorniť a nechať ho rozhodnúť,“
informuje Klein.
Koľko si pacienti priplatia
S koncom amalgámu sa očakáva, že doplatky budú ešte častejšie. Kompozitné plomby, ktoré dnes predstavujú štandard, sa pohybujú v desiatkach až stovkách eur podľa rozsahu ošetrenia. Pri väčších kazoch alebo estetických výplniach môže cena ešte rásť.

Pacient sa tak dostáva do situácie, keď síce má zákonný nárok na bezplatné ošetrenie, no v praxi si často musí vybrať medzi menej kvalitným riešením bez doplatku a modernejším, za ktorý si priplatí.
„Navyše existujú klinické situácie, kedy nie je možné použiť cementovú výplň – napríklad pri väčšom defekte, kde by výplň nedržala. Ak sa má zub zachovať dlhodobo, lekár siahne po materiáli, ktorý je bezpečný, funkčný a čo najviac šetrný. Vtedy musí lekár informovať pacienta o nutnosti zvoliť iný typ materiálu,“
dopĺňa dentálna odborníčka.

Dentálna hygienička Michaela Klein
Transparentnosť ako jediná obrana pacienta
Zásadnú rolu zohráva aj to, či pacient navštívi zmluvného alebo nezmluvného zubára. Ani zmluvný lekár však automaticky neznamená nulový doplatok. Odborníci preto odporúčajú jediné, pýtať sa vopred.
„Zubné kliniky by mali byť transparentné. Tento prístup je kľúčový pre budovanie dôvery a eliminuje finančný stres pacienta. Je dôležité zaviesť prehľadnosť, kde je cena dohodnutá už pri vstupnej konzultácii a nemení sa podľa toho, či sa kaz ukáže byť hlbší alebo náročnejší. Pacient tak presne vie hneď od začiatku, čo ho čaká, a nemusí sa báť nečakaných výdavkov,“
zdôrazňuje Michaela Klein.

Koniec amalgámu je na prvý pohľad ekologické opatrenie. V praxi však odhaľuje dlhodobý problém slovenského zdravotného systému, rozdiel medzi tým, čo je garantované na papieri, a tým, čo pacient skutočne dostane. Od júla 2026 sa tento rozdiel ešte viac prehĺbi.
Zásadný rozdiel je aj v tom, či navštívite zmluvného alebo nezmluvného zubára. Zmluvný lekár má uzatvorenú dohodu so zdravotnou poisťovňou a výkony ako preventívna prehliadka, extrakcia zuba či základná výplň zuba sa hradia z verejného zdravotného poistenia.
U nezmluvného lekára si všetko platíte sami – vrátane výkonov, ktoré by inak boli bez doplatku. Niektoré poisťovne umožňujú žiadať o príspevok aj u nezmluvného lekára, no ide o výnimky a komplikovaný proces. No ani zmluvný zubár neznamená automaticky zadarmo, to už zistili mnohí na vlastnej koži aj peňaženke.

Zdroj: Anna Žilková, Foto: ilustračné



















